Fratura do planalto tibial: tratamento e recuperação
Entenda como é feito o tratamento da fratura do planalto tibial e quais são as etapas da recuperação para restaurar a mobilidade do joelho.

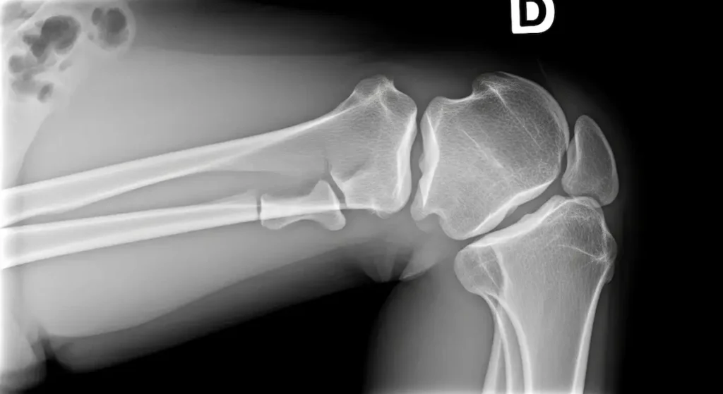
A fratura do planalto tibial envolve a parte superior da tíbia, região que forma a base da articulação do joelho.
Quando essa área quebra, há risco para a cartilagem e para a estabilidade do joelho, o que pode acelerar o desgaste articular se o cuidado não for adequado.
Como ortopedista especialista em cirurgia de joelho, reuni neste conteúdo tudo que você precisa saber sobre fratura do planalto tibial, desde os causas até a reabilitação.
Fratura do planalto tibial: o que é e por que preocupa
O planalto tibial possui dois platôs, medial e lateral, ambos recobertos por cartilagem.
A fratura pode surgir em traumas de alta energia em pessoas jovens ou em quedas domésticas em idosos com osso mais frágil.
Preservar o alinhamento e a congruência articular é essencial para evitar dor crônica e artrose.
Causas mais comuns
O mecanismo de trauma ajuda a prever o padrão de fratura e o plano de tratamento. Em geral, ocorre por carga axial combinada a varo ou valgo.
- Acidentes com moto, bicicleta ou carro.
- Quedas de altura com joelho estendido.
- Torções com sobrecarga durante esportes.
- Quedas da própria altura em idosos com osteopenia.
Sintomas que exigem atenção
Dor aguda no joelho e aumento de volume são sinais iniciais. Em casos mais graves, podem surgir achados de urgência.
- Dor intensa e incapacidade de apoiar o peso.
- Inchaço rápido por hemartrose.
- Bolhas de tensão na pele, ferida aberta com osso exposto.
- Formigamento ou palidez do pé, sugerindo comprometimento vascular.
Exames para confirmar o diagnóstico
O exame físico orienta as suspeitas, e a imagem define a estratégia.
- Radiografias em duas incidências para confirmar o traço.
- Tomografia para mapear fragmentos, depressões e planejar a cirurgia.
- Ressonância em casos selecionados, quando há suspeita de lesões de meniscos e ligamentos.
- Avaliação vascular quando houver dor desproporcional, palidez ou ausência de pulso.
Classificação
Os padrões variam de linhas de fratura sem desvio até depressões do platô e quebras que atingem os dois lados.
Quanto maior o desvio, a depressão da superfície e o número de fragmentos, maior a complexidade e a chance de cirurgia.
Quando tratar sem cirurgia
Casos estáveis e com desvio mínimo podem evoluir bem com imobilização e restrição de carga. A decisão é clínica e radiográfica.
- Desvio até 2 mm e sem instabilidade.
- Pele íntegra e partes moles preservadas.
- Plano de reabilitação com mobilidade controlada.
- Retorno gradual de carga entre 6 e 12 semanas, conforme consolidação.
Indicações de cirurgia
O objetivo da cirurgia é restaurar o nível articular, o alinhamento e a estabilidade do joelho.
Em lesões de alta energia, pode ser necessário um estágio inicial para proteger a pele e o músculo antes da fixação definitiva.
Veja quando a cirurgia é indicada:
- Degrau articular significativo ou depressão do platô.
- Desvios angulares e instabilidade mecânica.
- Fratura exposta, síndrome compartimental ou lesão vascular.
- Fraturas bicondilares que comprometem ambos os platôs.
Como é a cirurgia
O ortopedista escolhe o acesso conforme o traço e o lado comprometido.
Podem ser usados enxerto ósseo para elevar depressões, parafusos, placas bloqueadas e, em situações específicas, fixadores externos temporários para controlar o inchaço antes da síntese definitiva.
Pós-operatório e reabilitação
A fisioterapia começa cedo, respeitando dor e estabilidade. O protocolo varia de acordo com o padrão de fratura do planalto tibial e a fixação alcançada.
- Gelo e elevação do membro nas primeiras semanas.
- Controle de dor e proteção de partes moles.
- Ganho progressivo de amplitude de movimento com foco em extensão completa.
- Fortalecimento de quadríceps e cadeia posterior em fases.
- Liberação de carga conforme consolidação radiográfica.
Possíveis complicações
Mesmo com tratamento adequado, podem surgir intercorrências. Reconhecer cedo melhora o desfecho.
- Rigidez do joelho e perda de amplitude.
- Infecção superficial ou profunda.
- Mau alinhamento e degeneração articular precoce.
- Pseudoartrose e dor persistente ao apoiar.
- Trombose venosa em casos de imobilidade prolongada.
Tempo para voltar às atividades
Mobilidade sem carga costuma iniciar nas primeiras semanas, sempre orientada. A carga total varia entre 8 e 12 semanas em muitos casos, podendo se estender nos padrões complexos.
Esportes de impacto exigem consolidação sólida e controle neuromuscular antes da liberação.
Sinais de alerta: quando procurar avaliação
Marque sua consulta caso observe os seguintes sinais:
- Dor que piora com repouso e medicação.
- Pé frio, pálido ou formigando.
- Ferida que abre ou secreção na incisão.
- Inchaço que não reduz e dificuldade crescente para mover o joelho.
FAQs
Fratura do planalto tibial sempre precisa de cirurgia?
Não. Fraturas estáveis e com mínimo desvio podem ser tratadas com imobilização, restrição de carga e fisioterapia, desde que o alinhamento se mantenha nos controles.
Quanto tempo sem apoiar o pé?
De 6 a 12 semanas em muitos protocolos. O ortopedista define de forma individual conforme consolidação e estabilidade.
Existe risco de artrose após a fratura?
Sim. Se a superfície articular não for restaurada ou se houver mau alinhamento, aumenta o risco de desgaste precoce. O manejo correto reduz essa chance.
Quando posso voltar a correr?
Somente após consolidação, amplitude adequada e força equilibrada. Em fraturas simples pode levar alguns meses, em padrões complexos pode passar de um ano.



